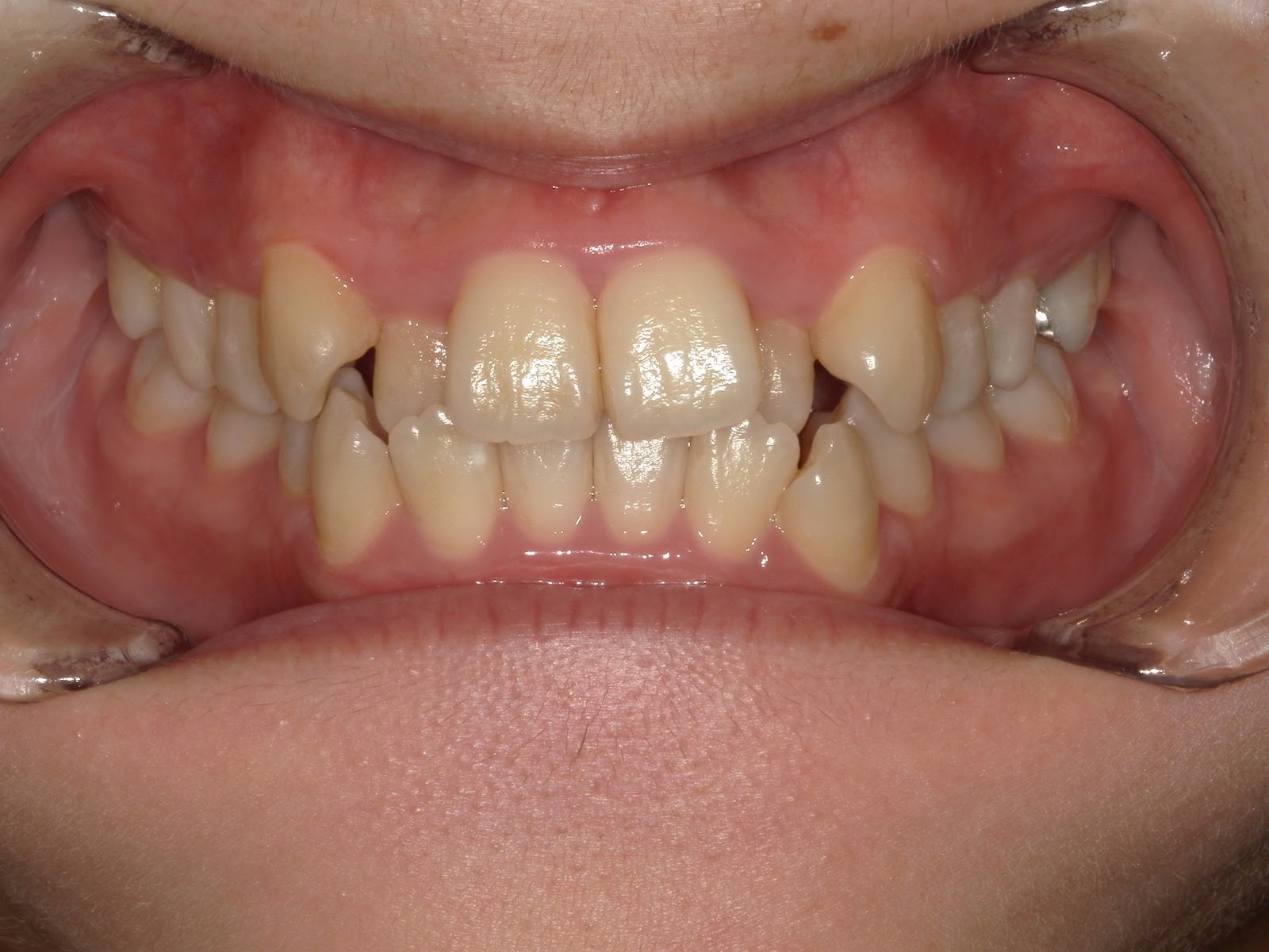
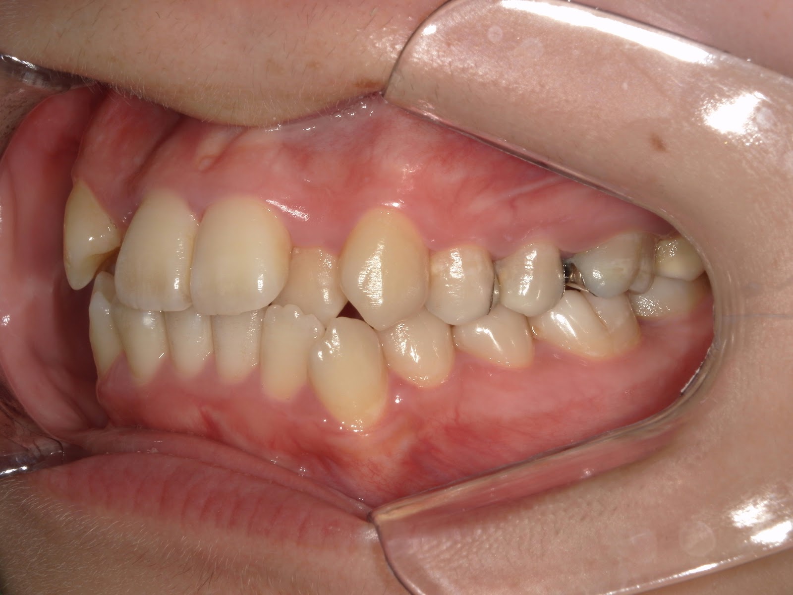
叢生歯列 治療例
治療前
治療後
| 患者様 | 女性 21歳 |
|---|---|
| 主訴 | 歯並びがガチャガチャしているので治したい |
| 診断 | 叢生歯列不正咬合 |
| 治療方針 | 上顎右側第一小臼歯、上顎左側第二小臼歯(第二小臼歯が根管治療歯のため当該歯を抜歯) |
| 治療に使用した装置 | マルチブラケット(セルフライゲーションブラケット) アンカースクリュー×1 |
| 治療期間 | 1年6カ月 |
| 治療回数 | 18回 |
| 治療費(自費診療) | 矯正治療費総額824,000円(税込み) |
リスクと副作用について Risk
- 矯正治療中、装置の種類によっては歯磨きがしにくくなる場合もあるのでう蝕や歯周病のリスクが高くなります。
- 矯正治療中は咬み合わせが変化するため、治療前と比べて咬みにくい、顎が痛くなるといった症状が出る可能性があります。
- 矯正治療中に歯根吸収、歯髄壊死、歯肉退縮が起きる事があります。
- 治療上永久歯の抜歯が必要になる症例があります。
- 矯正装置によるストレス、口内炎などの症状が出る方もいます。
- 矯正治療後に保定装置の使用が不十分であったり、口呼吸、舌癖などの習癖が改善されていない場合後戻りが起きる事があります。





