前歯部開咬 治療例
治療前
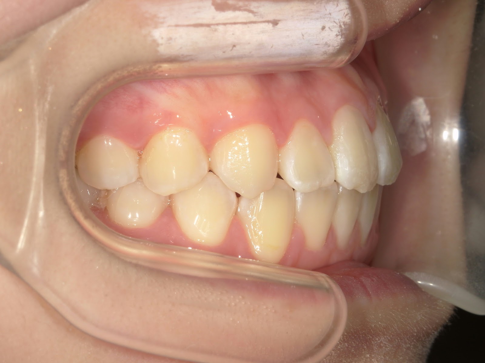
治療後
| 患者様 | 女性 19歳 |
|---|---|
| 主訴 | 前歯が咬まない |
| 診断 | 舌突出癖を伴う開咬 |
| 治療方針 | 非抜歯、IPRの併用治療 ※IPRは歯間を0.2~0.5mm程削る治療方法です 舌突出癖を改善するための筋機能訓練(MFT)を先行して行う。 |
| 治療に使用した装置 | マウスピース型矯正装置(インビザライン) |
| 治療期間 | 1年1カ月 |
| 治療回数 | 14回(MFT治療期間を含む治療期間は1年5カ月) |
| 治療費(自費診療) | 矯正治療費総額880,000円(税込) |
リスクと副作用について Risk
- 矯正治療中、装置の種類によっては歯磨きがしにくくなる場合もあるのでう蝕や歯周病のリスクが高くなります。
- 矯正治療中は咬み合わせが変化するため、治療前と比べて咬みにくい、顎が痛くなるといった症状が出る可能性があります。
- 矯正治療中に歯根吸収、歯髄壊死、歯肉退縮が起きる事があります。
- 治療上永久歯の抜歯が必要になる症例があります。
- 矯正装置によるストレス、口内炎などの症状が出る方もいます。
- 矯正治療後に保定装置の使用が不十分であったり、口呼吸、舌癖などの習癖が改善されていない場合後戻りが起きる事があります。
- 舌癖は矯正治療中に改善できないと、歯の移動を妨げて治療期間が伸びてしまう事があります。また、後戻りの原因となります。





