こじま矯正歯科ブログ BLOG

上下顎前突不正咬合
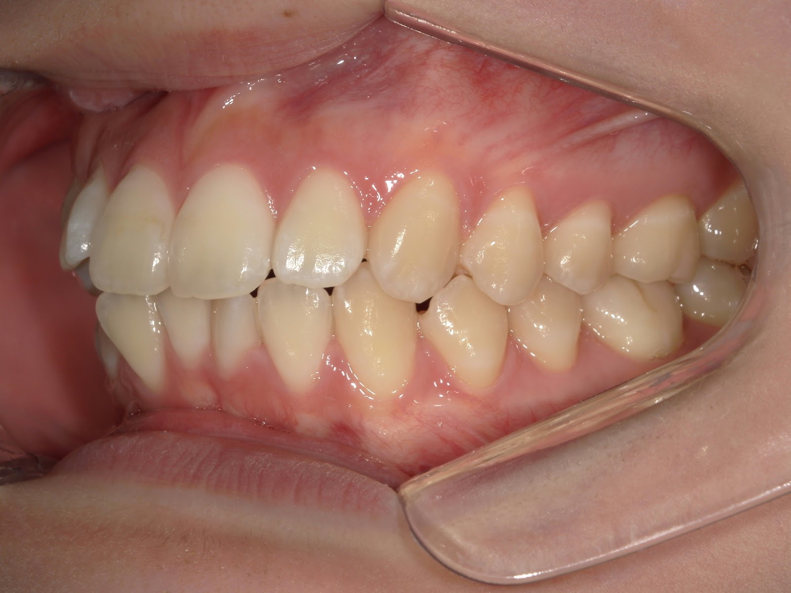
治療例1

治療前

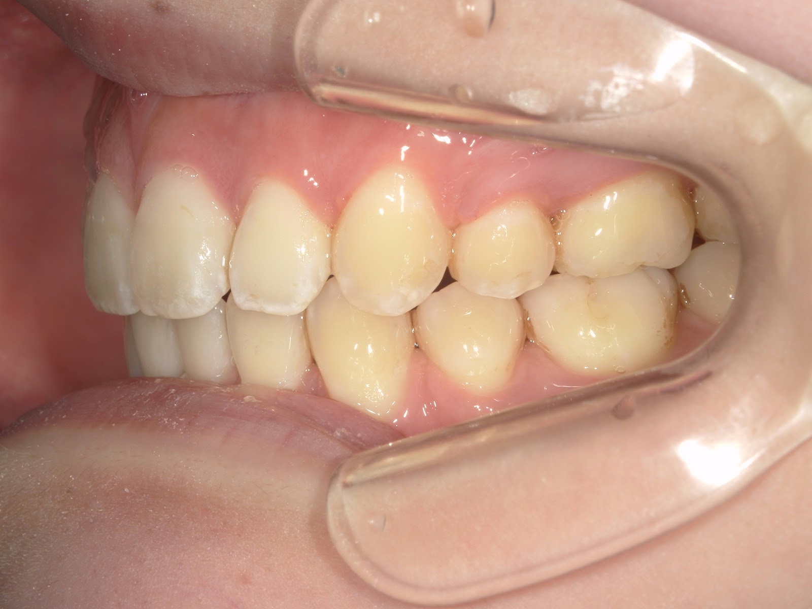
治療後

矯正治療前と治療後の
口元の比較

  • 治療前
  • 治療後
本症例の概要について
患者様女性 20歳
主訴前歯が出ている。口元を良くしたい
診断上下顎前突不正咬合
治療方針上下第一小臼歯の抜歯。上下前歯を後方移動させて口唇の突出を改善する。
舌突出癖を改善するための筋機能訓練(MFT)
治療に使用した装置マルチブラケット
治療期間2年8カ月
治療回数25回
治療費(自費診療)矯正治療費総額858,000円(税込)