ワイヤー治療 叢生+上顎前突不正咬合 治療例
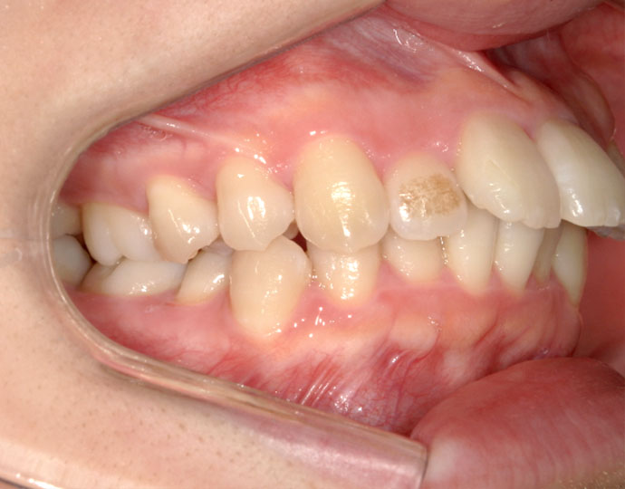
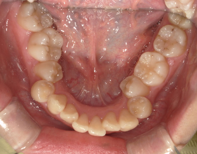
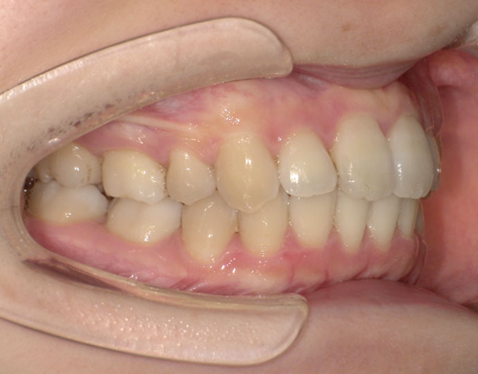
治療前
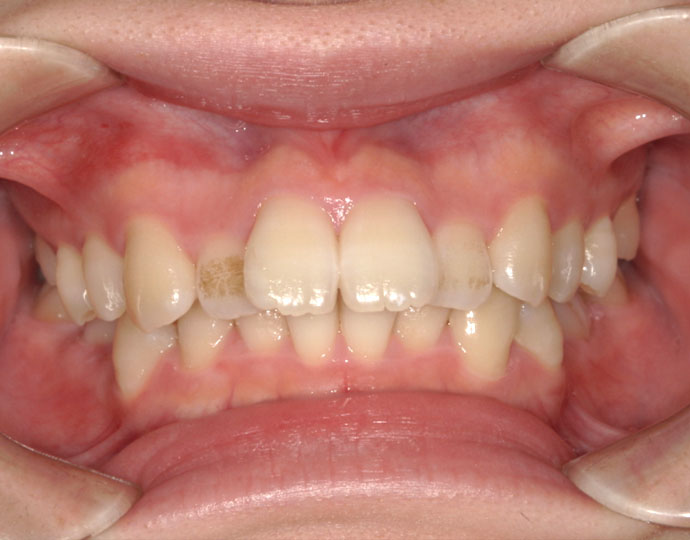
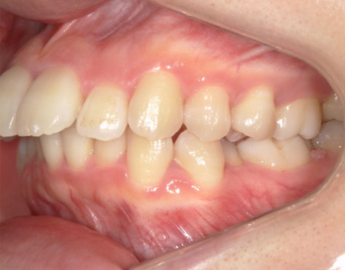
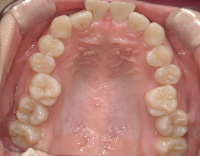
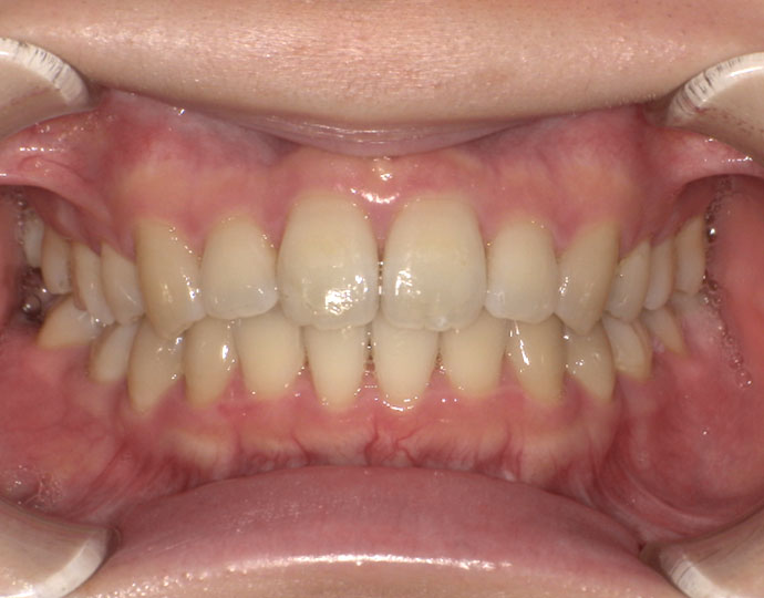
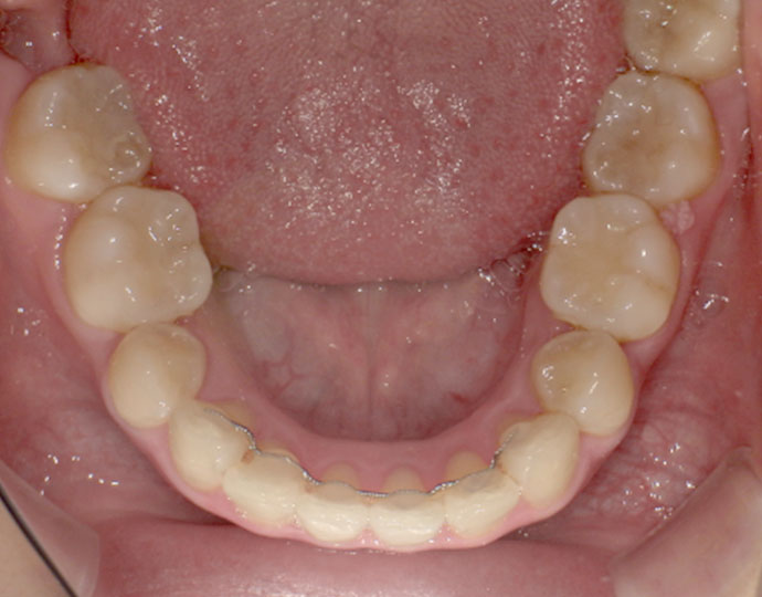
治療後
治療前後の口元の変化
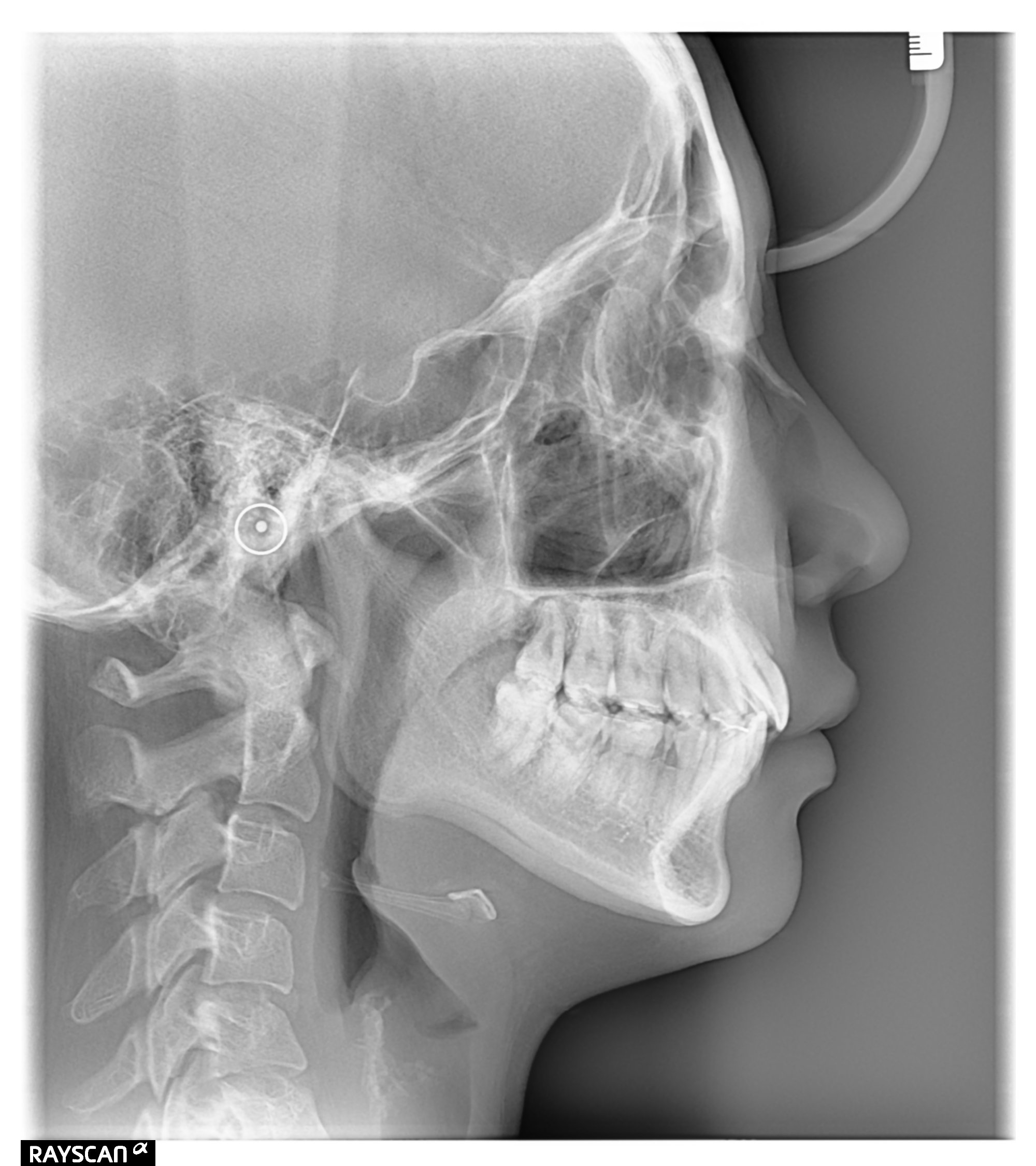
治療前後の側貌レントゲン写真の変化
| 患者様 | 女性 19歳 |
|---|---|
| 主訴 | 歯並びと口元を綺麗にしたい。 |
| 診断 | 叢生歯列を伴う上顎前突不正咬合 |
| 治療方針 | 上顎左右第一小臼歯、下顎左右第二小臼歯の抜歯 |
| 治療に使用した装置 | セルフライゲーションブラケット インプラントアンカースクリュー×2 |
| 治療期間 | 2年6カ月 |
| 治療回数 | 24回 |
| 治療費(自費診療) | 880,000円(税込み) |
リスクと副作用について Risk
- 矯正治療中、装置の種類によっては歯磨きがしにくくなる場合もあるのでう蝕や歯周病のリスクが高くなります。
- 矯正治療中は咬み合わせが変化するため、治療前と比べて咬みにくい、顎が痛くなるといった症状が出る可能性があります。
- 矯正治療中に歯根吸収、歯髄壊死、歯肉退縮が起きる事があります。
- 治療上永久歯の抜歯が必要になる症例があります。
- 矯正装置によるストレス、口内炎などの症状が出る方もいます。
- 矯正治療後に保定装置の使用が不十分であったり、口呼吸、舌癖などの習癖が改善されていない場合後戻りが起きる事があります。













