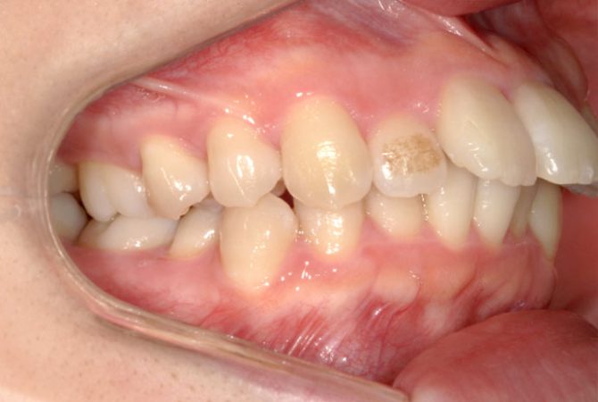
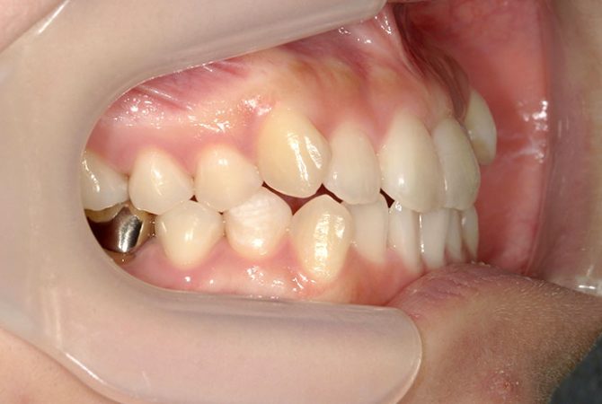
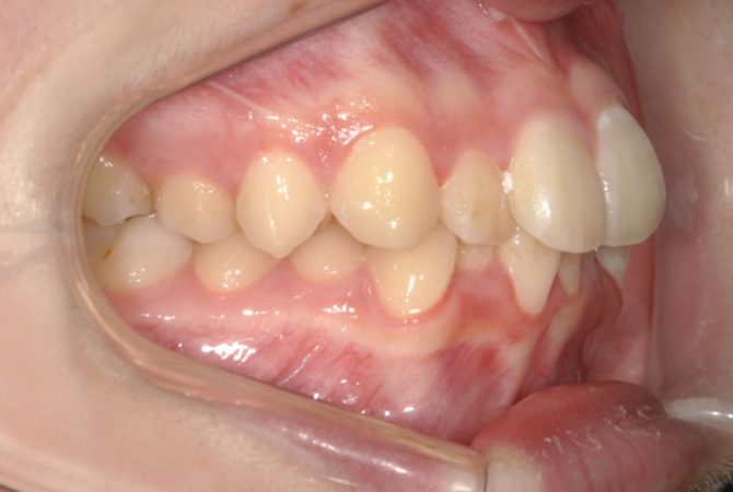
2025.12.17 ブログ Eライン(エステティックライン)とは 詳しく見る 2025.12.17 症例紹介 ワイヤー治療 叢生歯列不正咬合 治療例 詳しく見る 2025.12.17 症例紹介 ワイヤー治療 叢生+上顎前突不正咬合 治療例 詳しく見る 2025.12.16 症例紹介 マウスピース矯正治療 叢生歯列不正咬合 治療例 詳しく見る